本記事は、理学療法士の臨床実習で提出するレポートの書き方・例文・テンプレートをまとめました。
先にコピペ用テンプレ→次に例文→最後に提出前チェックの順で、すぐ仕上げられます。
レポートの基本構成
| 1.臨床実習レポートの雛形(ダウンロードはココをクリック) |
![]() |
| 2.実習最終レポート(ダウンロードはココをクリック) |
![]() |
上記は初期評価と最終評価を比較した実習レポートです。初めての臨床実習で作成した時のものなので内容については甘いですが…。
テコ入れせずに掲載しておきますので、雛形同様に実習の参考にしてみてください。
例文:目的設定〜考察
1.基本情報
| 氏名 | Aさん(個人情報保護のため「Aさん」と記入) |
| 性別 | 女性 |
| 年齢 | ○歳代前半(年代別の平均的な身体能力を把握しておく) |
| 身長・体重 | ○○ cm・○○kg(BMI○○) |
| 主訴 | 患者の訴えを言葉のままに記入 |
| Demand | 患者の望みを記入(できれば言葉のまま) |
| 家族Demand | 家族の望みを記入 |
| Needs | 主訴・Demandを考慮した上でスタッフが考える必要なことを記入 |
| 趣味 | 旅行 |
在宅復帰することがゴールとして考えられる場合、Needsは家族の介護力や経済的負担などを考慮し、どのレベルまで回復すればDemandを満たして在宅復帰が望めるかを指標として決定します。
また、在宅復帰後の本人の生活レベルを予測し、なにを生きがいとして生活していくことが望ましいかも考えていきます。
DemandとNeedsに整合性がない場合、患者のモチベーションも上がらず、リハビリの効果も乏しくなります。そのため、必ず患者とスタッフ間で目標を共有しておくことが重要になります。
患者の全体像として、外観や性格、コミュニケーション能力、リハビリに対するモチベーション、訓練室までの移動方法など、患者をイメージできる情報を記載しておくとよりよいです。
2.医学的情報
| 診断名 | 右皮質下出血 |
| 障害名 | 左片麻痺 |
| 合併症 | 高血圧、高脂血症 |
| 発症日 | 平成○年○月○日 |
| 手術日 | 発症日から手術日までの間、なにを行っていたかなどを詳しく聴取する |
| 入院日 | 平成○年○月○日 |
| リハ開始日 | 手術日からの経過は廃用性症候群などの指標として重要となる |
| 現病歴 | どういった機序で現在にいたるのかを簡潔にわかりやすく記載する |
| 既往歴 | 既往歴からリスクや発症前の身体状態を確認する |
| 服用薬 | 作用と副作用を理解し、リスク管理に注意していく必要がある |
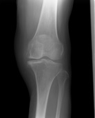
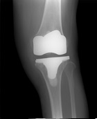
3.画像診断
- X-P所見(別紙参照):FTA左167°
- 骨折の特徴や手術法の特徴などを理解した上で、治療手技を考えていく必要がある。主なリスクは担当医に確認する
| 術前 | 術後 | 経過 |
![]() |
![]() |
![]() |
| 項目 | 内容 |
| FTA | 大腿骨と脛骨の長軸のなす大腿脛骨角。正常は約176度 |
| Mikulicz線 | 大腿骨頭中心から足関節中心を結ぶ下肢機能軸は立位での下肢荷重線を表し、正常では膝関節のほぼ中央を通過する |
| Sharp角 | 左右涙痕下端の接線と涙痕下端と臼蓋嘴を結ぶ線とのなす角で、臼蓋形成不全の程度を表す。正常値は女性で38~45度、男性で35~42度。女性で48度以上、男性で45度以上で臼蓋形成不全股となる |
| CE角 | 骨頭中心の垂線と臼蓋嘴までの距離を大腿骨内側縁から大腿骨頭外側までの距離で除したもの。臼蓋骨頭被覆の程度を表す。正常値は80~85% |
| Q角 | 膝伸展位での大腿四頭筋と膝蓋腱の牽引方向をなす角の余角をいう |
| 肘外反角(CA) | 肘関節伸展・前腕回外位で上腕軸と前腕軸のなす角度。健常者では男性6~11度、女性12~15度。これが増大したものが外反肘、減少して負の値になったものが内反肘である |
| 脊柱管前後径(SAC) | 第5,6頸椎高位での平均前後径は男性17㎜、女性16㎜であり、12㎜以下では狭窄と判断する |
| 内側上顆間距離 | 3横指以上でO脚(内反変形)となる |
4.他部門からの情報
| Dr | 手術からの注意点、副作用によるリスク、予後予測など |
| Ns | ADL状況、病棟での様子など |
| OT | どのような治療プログラムを行っていくか、リハビリ中の様子、ゴールなど |
| ST | どのような治療プログラムを行っていくか、リハビリ中の様子、ゴールなど |
| Sw | 家族の様子、期待できる介護力、家屋状況、経済的問題など |
| CW | 介護状況、病棟での様子など |
医学的情報により、これまでの経過、リスク、予後予測を考えていく。また、他部門とのカンファレンスによって、情報を共有し、同じゴールを目指していきます。
5.社会的情報
| 家族歴 | 遺伝性の高い病気も多いため、家族歴の確認によってリスク管理を行っていく |
| 家族構成 | 期待できる介護力、経済的支援を考慮していく |
| Key person | 治療方針や退院後の方針に決定権を持っている人物は誰か(本人になる場合もある) |
| 重たる介護者 | Key personと同一人物になる場合が多い。退院後の介護者の負担は強いため、退院後の方針については共有していく必要がある |
| 生活歴 | 発症前の生活レベルは目標設定の際に参考になるため把握しておく |
| 介護保険 | 要支援1・2、要介護1~5の区分がある。退院後に介護が必要となる場合、介護保険によってサービス内容を検討していくため、把握しておく必要がある |
バイタルサイン
運動前後にバイタルを計測することでリスク管理を行います。心肺機能をみていく際は、運動前後の呼吸数やSpO2まで確認します。
バイタルの標準値を覚えておくことも大切ですが、その人の普段の平均値がいくらかを知っておかないと変化を捉えられないことも理解しておく必要があります。
| バイタル | 正常範囲 |
| 血圧 | 140/90mmHg未満 |
| 脈拍 | 60-80回/分 |
| SpO2 | 96%以上 |
| 呼吸数 | 15-20回/分 |
認知機能検査
![]() |
認知機能テストにはHDS-RやMMSEが使用される場合が多いですが、それらのテストが不可能な場合は、言語の理解力などについて記載します。
具体的には、「バンザイ」などの単語(一語文)レベルの指示から、「右手をバンザイ」などの条件を増やした指示まで行い、どこまで対応できるかをみていきます。
高次脳機能検査
高次脳機能に関する検査では、日によって状態に変化がみられたり、結果も変化しやすいため、何度か検査を実施してから障害を確定させる必要があります。
検査結果の記載に関しては、可否の有無だけでなく、テスト中の様子などについても記載しておくことでより状態を把握することができるようになります。
片麻痺機能テスト(Br-stage)
![]() |
片麻痺機能テストの詳細は上記の記事にまとめていますので、ご参照ください。なお、脳卒中を理解するためには、以下の記事を参考にするとより理解しやすくなります。
疼痛検査
![]() |
疼痛検査の代表的な方法に、①VAS、②NRS、③フェイススケールの三つがあります。実習中はVASを使用して、評価結果を残しておいたほうが良いかもしれません。検査用紙は上記URLよりダウンロードできます。
検査が難しい患者に関しては、どのような動作のときに痛みが発生するか、どんな反応をするかなどを記載しておくことで状態を記していきます。
筋トーヌス検査
- Ashworthの痙性スケール
| 判定 | 内容 |
| グレード0 | 緊張なし |
| グレード1 | 軽度亢進。四肢を屈伸させたときに引っかかる感覚が若干ある |
| グレード2 | 中度亢進。四肢を屈伸させたときに抵抗はあるが問題なく可能 |
| グレード3 | 重度亢進。緊張の著しい増加で他動的に動かすことが困難 |
| グレード4 | 四肢をほとんど動かせない |
Ashworthの痙性スケールは検査者間での信頼性があまり高くないが、他に信頼できる方法がないため、臨床でもよく用いられています。
筋緊張は姿勢によって変化しやすいので、検査は一般的に背臥位で実施します。その他の姿勢で行う場合は、どの姿勢で評価したのかを記載しておきます。
知覚検査
![]() |
知覚には表在感覚や深部感覚、複合感覚などがあります。それぞれで知覚する領域や伝導路が異なりますので、そのあたりまで把握しておくことが求められます。
皮膚や筋肉の状態、浮腫などの影響からも知覚に変化は起こりますので、そのあたりについても評価しておくことが必要になります。
反射検査
何度も叩打すると反射は出にくくなるので、2,3回ほどで確実に腱を刺激できるように練習しておく必要がある。
| 状態 | 記載方法 |
| 消失 | - |
| 低下 | ± |
| 正常 | + |
| やや亢進 | ++ |
| 亢進 | +++ |
| 著明に亢進 | ++++ |
反射の評価は消失から著名に亢進までの6段階で記載しますが、具体的には、腱を叩いて反射が出現したら正常、筋の遠位端を叩いて出現したら亢進、筋腹で出現したら著名に亢進とします。
肢位によって緊張は変化するため、どの肢位で測定しかたについては必ず記載しておきます。
協調性検査
検査は実施前にまずデモを行い、それからテストを開始する。テストはできるだけ正確に、できるだけ素早く行ってもらいます。
試験は必ず条件を一定にし、10秒間で何回行うことができるかを計るためにストップウォッチを用意しておきます。左右差を確認して、振戦や拙劣の程度を評価します。
| (A)四肢の一般運動失調検査 |
| 指指試験,指鼻試験,鼻指鼻試験,膝打ち試験,足指手指試験,踵膝試験 |
| (B)測定障害→hypometriaとhypermetriaなどを検査する |
| arm atopping test,コップつかみ運動,過回内試験,線引き試験 |
| (C)変換運動障害→上肢・下肢・舌などを交互に反復させる運動 |
| 手回内・回外試験,finger wiggle,foot pat,tongue wiggle |
| (D)その他の試験 |
| 腕叩打試験,はね返り現象,振子運動試験,腕偏位試験,書字試験,重量覚障害 |
ROM-T
![]() |
筋力テスト
![]() |
姿勢反射テスト
| 種類 | 方法 |
| 静的バランス | 外力を加えていない状態の動揺性をみる |
| 動的バランス | 身体を動かして自動的に重心を変化させる |
| 外的バランス | 押すなどして他動的に重心を変化させる |
姿勢反射がすぐに出現するということは必ずしも良好な反応とは言えず、支持基底面内での重心調整ができない(踏ん張れない)ため、安定性が悪いということにもつながります。
どれだけの外力に対して、どれだけの姿勢変化にまで踏ん張ることができるかを確認し、そこからステップ反射で姿勢を立て直せるかを評価します。
脳神経検査
| 脳神経 | 検査方法 |
| 嗅神経 | 石鹸、たばこ、コーヒーなどを嗅いで答えてもらう |
| 視神経 | 視力表、眼前指数、眼前手動、明暗弁別、視野の検査 |
| 動眼神経 | 眼球運動 |
| 滑車神経 | 眼球運動 |
| 三叉神経 | 眼神経・上顎神経・下顎神経の知覚検査、咀嚼筋の筋力 |
| 外転神経 | 眼球運動 |
| 顔面神経 | 顔面筋の動き、兎眼、まつげ徴候、唇音「パピプペポ」の発語 |
| 内耳神経 | 聴力検査、Rinne試験、Weber試験、耳鳴、前庭機能検査 |
| 舌咽神経 | カーテン徴候、嚥下反射 |
| 副神経 | 僧帽筋、胸鎖乳突筋の筋力テスト |
| 舌下神経 | 舌の萎縮や偏位、舌の筋力、舌音「ラリルレロ」の発語 |
姿勢評価・基本動作分析
![]() |
- 姿勢分析は「運動連鎖」を理解したら簡単にできる
- 寝返り動作から起き上がり動作までの姿勢分析の評価とポイント
- 座位から立ち上がり動作までの姿勢分析の評価とポイント
- 立位姿勢の観察(評価)方法について解説
歩行分析
![]() |
ADL-T
![]() |
問題点の抽出
問題点の抽出方法には、「ICIDH」と「ICF」が存在していますが、私が学生の頃はまだICIDHで良かったです。しかし現在は、ICFが主流になっていますので、そちらで記入するほうが良いでしょう。
ICIDHの基本は疾病に起因する、①臓器レベルでの機能障害(impairment)、②人間個体としての日常生活能力低下(disability)、③能力低下に伴う社会的不利(handicap)の三つから構成されます。
ICIDHがマイナス面を列挙するのに対し、ICFでは障害というマイナスのイメージをなくすためにプラス面を列挙していく必要があります。そのため、障害や不利、麻痺などの言葉を使うことができません。
しかし実際は、医療はマイナスからプラスにするプロセスであるため、あまりにICFにとらわれすぎると患者の正確な問題点を把握することができないため、両者を挙げてからまとめるほうがよいかと思います。
レポートでどのように記載すべきかについては、担当バイザーに確認するようにお願いします。
ICIDHで分類した場合
| <Impairmentレベル> |
| #1.圧迫骨折にて椎体圧潰リスク |
| #2.背部痛 |
| #3.下肢の筋力低下(股関節外転,膝関節伸展) |
| #4.体幹の可動域制限 ※コルセットによる制限 |
| <Disabilityレベル> |
| #5.立位や座位の制限(#1,2) |
| #6.歩行能力の低下(#2,3) |
| #7.ADL能力の低下(#2,3,4) |
| <Handicapレベル> |
| #8.アパートの2階(階段使用・手すり有) |
| #9.バス停と家の間の坂 |
※問題点は重要度が高いものから列挙していく。
ゴール設定
| 種類 | 期間 | 内容 |
| S.T.G. | 2週間 | トイレまでの移動自立、疼痛はNRSで4以下 |
| L.T.G. | 4週間 | T杖歩行の屋内自立、5分以上の連続歩行獲得、疼痛はNRSで2以下 |
| F.G. | 6週間 | 椎体圧潰はSQ法でグレード1以下,疼痛消失,在宅復帰 |
治療プログラム
| 1.下肢の筋力強化 |
| 方法:臥位にてSLR運動、ゴムチューブ利用による股関節外転 |
| 目的:廃用症候群の予防 |
| 2.腹式呼吸 |
| 方法:臥位にて腹式呼吸の指導 |
| 目的:心肺機能の向上、疼痛コントロール |
| 3.生活動作指導 |
| 方法:腰に負担のかからない動作指導 |
| 目的:椎体圧潰の予防 |
考察
レポートの考察部分で記載すべき内容について、以下にまとめています。初期評価と最終評価で内容は若干異なりますので参考にしてみてください。
《初期評価の場合》
- 症例紹介、症例の経過
- 疾患についての一般的特徴と症例との比較
- 評価より得られた情報の分析
- メインとなる問題点と理由
- 問題点に対するプログラム内容とその理由
- 目標設定とその理由
- 今後の方針、予後予測
《最終評価の場合》
- 症例紹介、症例の経過
- 疾患についての一般的特徴と症例との比較
- 評価より得られた情報の分析
- 訓練の中でメインに考えていたもの、新しい訓練や工夫のアピール
- 目標設定の是非
- 改善できなかった点及びその理由
- 今後の方針
参考文献の書き方(例)
- 1)王寺享弘:診察のみによる診断法.Orthopaedics.11(1):1-7.1998.
- 2)真島任史ほか:膝前十字靭帯の治療におけるリハビリテーション.Orthopaedics.11(1):75-8.1998.
- 3)井原秀俊ほか:膝前十字靭帯損傷に対しての保存的治療.整形・災害外科.37:635-642.
最終更新:2025-10-11





.gif)







